一般的な歯列矯正治療法〜唇側矯正〜
歯列矯正の治療法にはいくつかありますが、一般的に「矯正」と言えば、唇側(しんそく)矯正を指します。歯の表側(唇側)に取り付けた“ブラケット”と言う矯正装置にワイヤーを通し、ワイヤーの弾力を利用して歯を少しずつ動かして行きますので、「唇側矯正」の名前があります。
症例や患者様のお口の状態によりますが、平均的な治療期間は約1年半〜2年です。(ケースによって期間は延長されます。)
表側からでも、目立たない歯列矯正治療が可能

「歯列の矯正治療」というと、「金属の装置が目立って、見た目が良くない」というイメージをお持ちではありませんか? 確かに以前の矯正装置(ブラケット)は金属製のものしかありませんでしたので、“唇側矯正=装置が目立つ”というデメリットがありました。
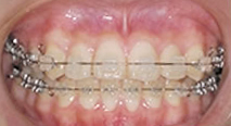
※American Orthodontic社Radiance ポスターイメージ
(株式会社バイオデント)より
装置を歯列の裏側に装着する舌側矯正であれば、表側から装置が見えることがほとんどなく、見た目を気にする必要がありませんが、特殊な装置やテクニックを必要とするため、治療費が高額になってしまうというデメリットがあります。また、施術を行っていない歯科医院・矯正歯科医院も多いため、どなたでも気軽に受けていただけるというわけではありません。
そこで最近では、目立ちにくいさまざまな矯正装置(ブラケット)が開発されるようになりました。プラスチック製やセラミック製の装置は白色や半透明(中にはほとんど透明に近いものもあります)で歯の表側に装着しても目立ちにくく、唇側矯正であっても装置を気にせず治療を受けていただけますので、歯列矯正中の患者様の精神的な負担を大幅に軽減できるようになりました。
より目立たない方法での治療をご希望の方は、お気軽にご相談ください。
強化プラスチック製矯正装置

半透明で歯の色に近いものです。金属製のものと比べて目立ちにくく、装置を外すときの歯への負担が少ないのが特徴です。
単結晶サファイア製のセラミック矯正装置

当院では、AMERICAN ORTHODONTIC社の「ラディアンス」という、透明に近いセラミックブラケットを使用しています。二番目に硬度が高いと言われている鉱石(サファイア)で作られていますので、プラスチックのブラケットよりも丈夫で変色しにくいというメリットがあります。
金属製・プラスチック製のものよりも目立ちにくい・装置をはずすときの歯への負担が少ないということに加え、全体的に丸みをつけて滑らかに仕上げるなど、患者様のお口の中での違和感を軽減する工夫もなされています。
ラディアンスの特徴

単結晶サファイアを使用していますので、輝くような透明感を持っており、審美性が非常に高いブラケットです。

特殊な表面加工を施して強度を増していますので、壊れにくいブラケットです。また表面が非常に滑らかなため、着色しにくい、汚れがつきにくいなど、衛生面でも優れています。

装置全体が丸みを持っていますので、従来のものよりも装着時の違和感が軽減されました。
ホワイトワイヤー併用で、より目立たない矯正
 ラディアンス+ホワイトワイヤー
ブラケットだけではなく、ワイヤーにも目立たないものがございます。
当院で使用しているのはホワイトワイヤーと言い、通常のものよりも目立ちにくくして審美性を高めたものです。ワイヤーの表面を反射しにくいように加工していますので、ラディアンスなどの審美ブラケットと併用していただくと、ほとんど目立ちません。
ホワイトワイヤーをご希望の方は、お気軽にご相談ください。
治療期間を短縮できる唇側歯列矯正
最先端のデーモンシステム
唇側矯正の治療法のひとつに、デーモンシステムがあります。ワイヤーをブラケットに固定せず、自然な弱い力で効率的にブラケットを移動させて歯列を整える矯正です。
ワイヤーを固定しませんので、装置の調整時間を短縮でき、調整回数も少なくすることができます。
デーモンシステム
ニューヨークスタイルのインプラント矯正
インプラント矯正とは、スクリューまたはプレートタイプのインプラントを固定源として歯列を整える矯正治療法です。単独でおこなう治療ではありませんが、通常の歯列矯正にインプラント矯正を併用することで、治療期間を短縮できる場合があります。
インプラント矯正
 |