 |
 |
当院で行なった治療の症例です。ご参考くださいませ。
詳しい内容は当院の体験集をご覧ください。無料で送らせていただいております。 |
|
<< 1 2 3 >> |
|
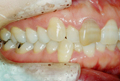
●主 訴 ― 頭痛や肩こり・歯ぎしりが、ひどく、噛み合わせが悪い。
●治療期間 ― 矯正 約5ヶ月 アゴの治療 約3ヶ月
●治療内容 ― コルチコトミー手術を併用したスピード矯正と整体による理学療法 |
|
 |
 |
 |
 |
スピード矯正をして約8年経ちましたが、
今も安定しています。
これもコルチコトミーの効果だとおもいます。 |
| 治療後6年目 |
|
|
|
 |
|
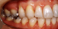
●主 訴 ― 口元の突出
●治療期間 ― 約13ヶ月
●治療内容 ― FLB舌側矯正装置、及び小臼歯抜歯 |
|
 |
 |
|
|
|
| |
|
| |
 |
|
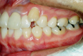
●主 訴 ― 叢生
●治療期間 ― 約3ヶ月
●治療内容 ― FLB舌側矯正装置、及びヘミオステオトミーによるスピード矯正(非抜歯ケース) |
|
 |
 |
|
|
|
| |
 |
|
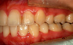
●主 訴 ― 下口唇の突出と叢生
●治療期間 ― 約7.5ヶ月
●治療内容 ― FLB舌側矯正装置、及びヘミオステオトミーによるスピード矯正(抜歯ケース) |
|
 |
| |
|
 |
|
●主 訴 ― 叢生
●治療期間 ― 約5ヶ月
●治療内容 ― 上顎舌側、下顎唇側矯正装置、及びヘミオステオトミーによるスピード矯正(抜歯ケース) |
|
 |
 |
|
|
| |
|
| |
 |
|
●主 訴 ― 口元の突出
●治療期間 ― 約7ヶ月
●治療内容 ― 上下舌側矯正装置、及びヘミオステオトミー、上顎アンカーインプラントによるスピード矯正(抜歯ケース) |
|
 |
 |
|
|
|
|
| |
 |
|
●主 訴 ― 下口唇の突出と反対の咬み合せ
●治療期間 ― 約6ヶ月
●治療内容 ― 上下舌側矯正装置、及びヘミオステオオミー、下顎アンカーインプラントによるスピード矯正(抜歯ケース) |
|
 |
 |
|
|
|
|
| |
 |
|
●主 訴 ― 口元の突出
●治療期間 ― 約6.5ヶ月
●治療内容 ― FLB舌側矯正装置、及び上顎オステオトミー、下顎アンカーインプラントによるスピード矯正(抜歯ケース)、フェイシャルプラン |
|
 |
 |
|
|
|
 |
|
●主 訴 ― 噛み合わせが逆で、顔のゆがみがある。
●治療期間 ― 約1年9ヶ月
●治療内容 ― 舌側矯正 と あごの手術 |
|
 |
 |
|
 |
|
●主 訴 ― 八重歯が気になり、口が閉じにくい。
●治療期間 ― 約1年7ヶ月
●治療内容 ― 舌側矯正 |
|
 |
 |
|
 |
|
●主 訴 ― 前歯で物が噛めない、下あごが出ている。
●治療期間 ― 約2年
●治療内容 ― 一般矯正 と あごの手術 |
|
 |
 |
|
|