 |
 |
当院で行なった治療の症例です。ご参考くださいませ。
詳しい内容は当院の体験集をご覧ください。無料で送らせていただいております。 |
|
<< 1 2 3 >> |
|
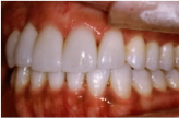
●主 訴 ― 隙間
●治療期間 ― 約8ヶ月
●治療内容 ― 上下舌側矯正装置及び、ヘミオステオトミー、アンカーインプラントによるスピード矯正 |
|
 |
 |
|
 |
|
●主 訴 ― 叢生
●治療期間 ― 約12月
●治療内容 ― 上下舌側矯正装置及び、ヘミオステオトミー、
アンカーインプラントによるスピード矯正(抜歯ケース) セラミック治療 |
|
 |
 |
|
 |
|
●主 訴 ― 叢生
●治療期間 ― 約7ヶ月
●治療内容 ― ヘミオステオチミー及び、骨移植によるスピード矯正 |
|
 |
 |
|
 |
|
●主 訴 ― 開口
●治療期間 ― 約7ヶ月
●治療内容 ― 上顎舌側矯正装置、及びヘミオステオトミー、
下顎アンカーインプラントによるスピード矯正 |
|
 |
| |
|
 |
|
●主 訴 ― 反対咬合
●治療期間 ― 約6ヶ月
●治療内容 ― 上顎舌側矯正装置、及びヘミオステオトミー、
アンカーインプラントによるスピード矯正 |
|
 |
 |
|
 |
|
●主 訴 ― 叢生、口元の突出
●治療期間 ― 約13ヶ月
●治療内容 ― 上下舌側矯正装置、及びアンカーインプラント |
|
 |
 |
|
 |
|
●主 訴 ― 叢生
●治療期間 ― 約10ヶ月
●治療内容 ― 上顎舌側矯正装置、及びヘミオステオトミー、
アンカーインプラントによるスピード矯正(抜歯ケース) |
|
 |
 |
|
 |
|
●主 訴 ― 叢生
●治療期間 ― 約8ヶ月
●治療内容 ― ヘミオステオトミー、アンカーインプラントによるスピード矯正 |
|
 |
 |
|
 |
|
●主 訴 ― 口元の突出
●治療期間 ― 約8ヶ月
●治療内容 ― 上顎舌側矯正装置、及び上顎オステオチミー、
アンカーインプラントによるスピード矯正 |
|
 |
 |
|
 |
|
●主 訴 ― 叢生、口元の突出
●治療期間 ― 約8ヶ月
●治療内容 ― 上下顎舌側矯正装置、及びヘミオステオトミー、
上顎アンカーインプラントによるスピード矯正(抜歯ケース) |
|
 |
 |
|
 |
|
●主 訴 ― 反対咬合
●治療期間 ― 約17ヶ月
●治療内容 ― 上顎舌側矯正装置、及び下顎アンカーインプラント |
|
 |
 |
|
|